image
rectangle

一人ひとりの歯ならびに向き合う

信頼安心の矯正治療

日本矯正歯科学会 専門医だからこそできる
アプローチで
納得の矯正歯科治療を

  • 矯正治療数
    1,345
    2019年〜2025年 ※下記参照
  • 小児矯正も
    実績
    多数
※矯正治療実績内訳:
2019年197件、2020年201件、2021年212件、
2022年183件、2023年170件、2024年198件、2025年184件
合計1,345件

歯列矯正にこんな不安はありませんか?

  • 見た目だけでなく、
    咬み合わせや将来の歯の健康が心配
  • できるだけ歯を抜かず、
    身体に負担の少ない矯正をしたい
  • 矯正後に後戻りしてしまわないか不安
  • 部分矯正で本当に咬み合わせまで
    改善
    できるのか分からない
  • 信頼できる先生に、
    しっかり相談しながら矯正を進めたい
当院では、見た目だけで判断するのではなく、咬み合わせや将来の歯の健康まで見据え、
一人ひとりと丁寧に向き合いながら
矯正治療を行っています。

永続的で健康的な
歯ならびの維持

image
歯ならびの乱れをそのままにしておくと、
むし歯や歯周病などの
トラブルの原因になります。

力のストレス軽減

image
咬み合わせが良くなることで、
特定の歯へかかる負担が軽減されます。
特定の歯に強い力がかかると、40歳以降
に歯を失うリスクが急激に高まります。

見た目の印象向上

image
歯ならびが整うと笑顔に自信が
持てるようになり、
コミュニケーションの場でも
よりポジティブな印象を与えられます。

矯正歯科治療は
「審美性(見た目)」だけでなく
「機能性(咬み合わせ)」
大変重要な治療です。
お口の中を総合的に診てくれる
歯科医院を選ぶことをお勧めします。

background

まずは初診矯正相談
現状の歯ならびを確認してみませんか?

  • check 3Dフェイススキャンで治療後の顔の変化を
    あらゆる角度からシミュレーション
  • check 口腔内スキャンで、歯ならびだけでなく、
    むし歯や歯のすり減りまでチェック
  • check ワイヤー矯正、マウスピース矯正、
    あなたに適した方法を専門的にご提案

3Dフェイススキャンイメージ

line

で、気軽に矯正相談!

写真を送るだけで、医師が確認。
矯正方法や費用・期間の目安までお伝えします。

line
  • 写真を送って相談できる
  • 矯正方法(ワイヤー/マウスピース)の
    目安が分かる
  • 抜歯の可能性について聞ける
  • 費用・期間の目安が分かる

※LINE相談は簡易的なご案内となります
※正確な診断は来院が必要です
※診療時間内に担当者から返信します

online
遠方の方・忙しい方にオススメ

オンライン矯正相談

自宅でスマホからもご相談いただけます!

online
  • 口腔内の写真をLINEで送るだけ!
  • ビデオ通話で矯正相談
  • 矯正治療の必要性の有無や適切な治療方法・期間・費用が分かる

大谷歯科矯正歯科の
矯正歯科治療が選ばれる理由

01

ワイヤー矯正・マウスピース矯正
どちらも対応

豊富な選択肢から適した治療をご提案します
当院は、矯正歯科の
専門教育を受けてきた医師が複数在籍し、
かつ歯周病治療や一般治療を担当する
歯科医師も所属する総合歯科です。
ワイヤー矯正(表側)
ワイヤー矯正(表側)
ワイヤー矯正(裏側)
ワイヤー矯正(裏側)
ワマウスピース矯正
マウスピース矯正
顎変形症に対する矯正
顎変形症に対する矯正

02

難しい症例にも対応。
他院からの紹介で通う方も

他院で「抜歯しか無理」「年齢的に無理」
「手術になるかも」と断られた方も、
ぜひ一度ご相談ください。
当院には、
経験豊富な歯科医師が在籍しており、
お子さまから大人の方まで、
一人ひとりに合った
矯正歯科治療を提案します。
県内では松山市だけでなく四国中央市や
愛南町から、また高知県や徳島県からも
多くの方が通院されています。
image

他の医院様
などからの
"紹介"
によるご来院

180

※2025年の実績

高齢者・歯周病患者・転位歯・先天性欠損などの
特殊なケースにも対応可能

03

実績ある歯科医師に相談できる

経験豊富・たしかな技術の
歯科医師が在籍しています
他院に矯正を指導するレベルのドクターなので
これまでの経験に基づいて
あなたの症状に合わせた
治療方針をご提案いたします。
大谷 淳二

クリニック監修 歯科医師

大谷 淳二

  • 愛媛大学医学部附属病院
    歯科口腔外科非常勤講師
  • 長崎大学 歯科矯正学講座 非常勤講師
  • 世界インプラント矯正歯科学会 理事
  • 愛媛アライナー矯正塾 主宰
  • 愛媛県矯正歯科医会 代表世話人
  • 日本矯正歯科学会 認定医
  • 日本顎変形症学会 評議員・認定医委員会
  • 日本顎咬合学会 認定医
  • 日本口腔筋機能療法学会
  • 日本口腔インプラント学会
  • 日本歯周病学会
  • 日本臨床歯周病学会
  • 国内外の歯科医師向け講演200回超
安養寺 寿希

歯科医師

安養寺 寿希

  • 長崎大学歯学部卒業
  • 日本歯周病学会
  • 日本臨床歯周病学会
  • 日本成人矯正歯科学会
  • JSCO
川合 暢彦

歯科医師

川合 暢彦

  • 日本矯正歯科学会 認定医, 指導医
  • 2020年4月1日-現在 認定医委員会委員
  • 2024年4月1日-現在 専門医委員会委員
  • 2024年4月1日-現在 認定医・専門医制度
    改革検討委員会委員
  • 中・四国矯正歯科学会
  • 日本口蓋裂学会
  • 日本顎変形症学会
  • 日本口腔筋機能療法学会

04

丁寧なカウンセリングと
治療計画のご提案

患者さんと医師の信頼関係を大切に
治療を進めます
見た目だけでなく、
現状の歯ならび・咬み合わせを踏まえて、
矯正歯科治療が本当に必要か、
なぜ必要なのか、
どのように治療を進めるのがよいか、
丁寧にお伝えします
image
  1. 原因
  2. 精密
    分析
  3. 対策
image
初回相談では
歯ならびの原因・対策・将来の予測を
長年の経験がある歯科医師がお伝えします
患者さん一人ひとりが納得して
治療を進めていただけるように診察をします
歯科矯正は見た目だけでなく、
お口、身体の機能にも影響する治療です。
必要な人に、必要な矯正が
きちんと届くことを大切に、
治療を行っています。

お子さまの矯正実績も豊富

成長期の矯正歯科治療の目的は、
顎顔面骨格の成長発育をコントロールし、
正常な状態へと近づけることです。
上下4本の前歯が生え揃ったら
(7〜8歳頃になったら)
歯科医院でチェックを受けることをお勧めします。
image

お子さまの顎と歯列の成長に合わせて、
適切な開始時期に適切な装置をご案内いたします。

マウスピース型矯正装置
マウスピース型矯正装置
急速拡大装置
急速拡大装置
拡大床装置(緩徐拡大装置)
拡大床装置
(緩徐拡大装置)
受け口矯正(歯列矯正用咬合誘導装置)
受け口矯正
(歯列矯正用咬合誘導装置)

お子さまが
矯正歯科治療を始めるメリット

01

成長に合わせた無理のない治療

image image

小児期の矯正歯科治療は、
本来の成長を利用し
あごや歯列の発育を促せる

ため、治療期間は長くなりますが、
痛みも少なく負担の少ない治療が可能です。

また、適切な時期に
矯正治療を始めることで、
大人になってから抜歯矯正する可能性
減少させることができます。

02

バランスの取れた顔立ちに

image image

ご両親や親族から受け継いだ遺伝性要因は、
お子さまの顔の発育や歯の大きさに
大きな影響を及ぼします

歯ならびを整えながら、
正しい鼻呼吸と舌の位置を獲得し、
上下のあごを本来の成長へと導くことで
顔立ちを整えます。

03

猫背・お口ポカン・スマホネックなど
姿勢や呼吸方法の改善も

image

口呼吸(お口ポカン)・舌の位置(低位舌や突出癖)・姿勢(猫背)・
態癖(頬杖・うつぶせ寝・指しゃぶり)などの
機能的要因は、顔の発育や歯ならびにさらなる悪影響を及ぼします。

  • ・口呼吸(お口ポカン)
  • ・舌の位置(低位舌や突出癖)
  • ・姿勢(猫背)
  • ・態癖(頬杖・うつぶせ寝・指しゃぶり)

などの機能的要因は、
顔の発育や歯ならびに
さらなる悪影響を及ぼします。

当院では、体癖・習癖の改善のための
トレーニングを実施しています。
MTF
口腔筋機能療法(MFT)トレーニング
  • 専門教育を受けたトレーナーが在籍
  • 個室でマンツーマンレッスン(1回30分程度)
  • 自宅での練習道具やレッスン動画を提供
保護者の方が、適切な治療開始時期を
判断するのは難しいですよね。
一度、お子さまの歯の状態を確認してみませんか?

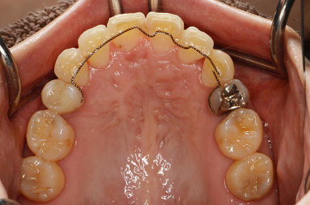
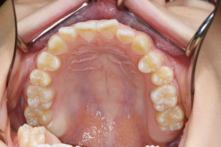
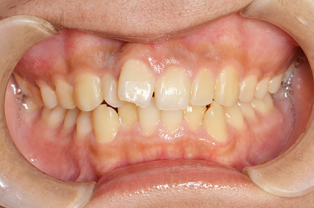
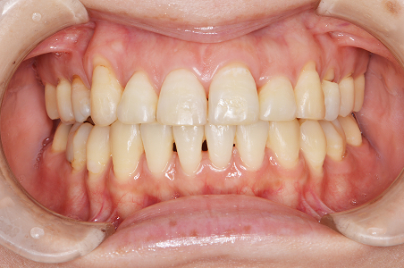
症例

大人の矯正も子どもの矯正も症状に合わせて様々な実績があります

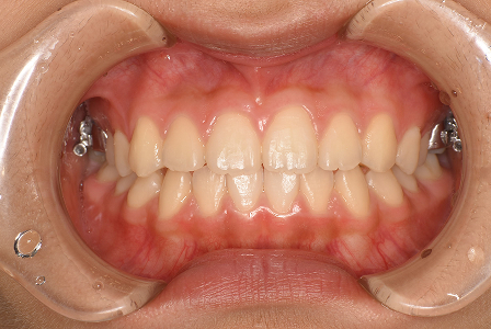
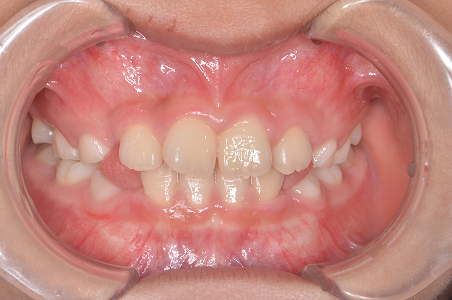
前歯がガタガタしていて、
内側に入っている

Before

before before

After

after after

初診時年齢

27歳

治療期間

2年3ヶ月

来院回数

27回

費用

950,360円

治療内容

叢生を、上下顎両側第一小臼歯を抜去し、舌側矯正 (リンガルブラケットとトランスパラタルアーチ) により改善した。

リスク・副作用

自費診療(保険外診療)です。治療期間中は1ヶ月に1回程度の通院が必要です。他の矯正歯科治療と同様に、セルフケアを怠ると、虫歯や歯周病を発症する場合があります。ワイヤー調整後は、一時的な鈍痛や咬合痛を発症する場合があります。動的治療終了後は、保定装置を装着する必要があります。

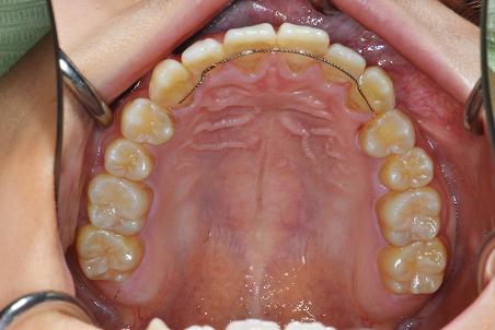
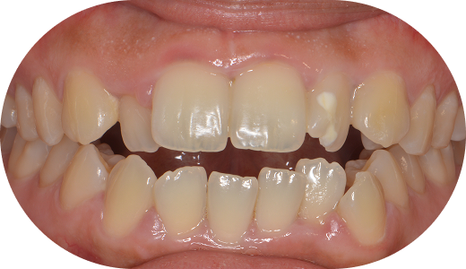
犬歯が生えるスペースがない。
前歯のガタガタが気になる

Before

before before

After

after after

初診時年齢

10歳

治療期間

3年7ヶ月

来院回数

15回

費用

573,000円

治療内容

永久歯の萌出スペース不足と上顎大臼歯の近心位を認めるため、上顎にトランスパラタルアーチとヘッドギアを装着し上顎歯列の拡大と上顎大臼歯の遠心移動を行った。その後、上顎前歯部にマルチブラケット装置を装着し叢生を改善した。

リスク・副作用

自費診療(保険外診療)です。症例によりますが、成長が概ね終了する12歳頃まで、3ヶ月に1回程度の定期的な通院が必要です。他の矯正歯科治療と同様に、セルフケアを怠ると、虫歯や歯周病を発症する場合があります。装置調整後は、一時的な鈍痛や咬合痛を発症する場合があります。動的治療終了後は、保定装置を装着する必要があります。

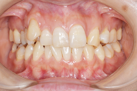
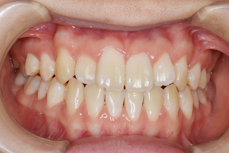
歯の向きのガタガタが気になるのを
裏側矯正で改善

Before

before before

After

after after

初診時年齢

15歳

治療期間

2年5ヶ月

来院回数

28回

費用

897,024円

治療内容

叢生を非抜歯で舌側矯正 (リンガルブラケット) により改善した。

リスク・副作用

治療期間中は1ヶ月に1回程度の通院が必要です。他の矯正歯科治療と同様に、セルフケアを怠ると、虫歯や歯周病を発症する場合があります。ワイヤー調整後は、一時的な鈍痛や咬合痛を発症する場合があります。動的治療終了後は、保定装置を装着する必要があります。

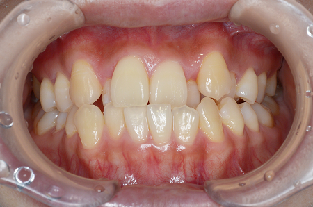
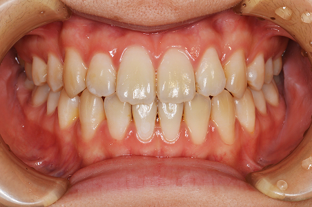
右上の八重歯が気になるのを
抜歯+裏側矯正で改善

Before

before before

After

after after

初診時年齢

38歳

治療内容

2年11ヶ月

来院回数

34回

費用

768,362円

治療内容

叢生を上顎右側第一小臼歯、下顎左側第二小臼歯を抜去し、舌側矯正 (リンガルブラケット) により改善した。上顎には口蓋正中にアンカースクリューを植立し、最大の固定で抜歯空隙を閉鎖した後、歯列の遠心移動を行った。

リスク・副作用

治療期間中は1ヶ月に1回程度の通院が必要です。他の矯正歯科治療と同様に、セルフケアを怠ると、虫歯や歯周病を発症する場合があります。ワイヤー調整後は、一時的な鈍痛や咬合痛を発症する場合があります。動的治療終了後は、保定装置を装着する必要があります。

前歯が飛び出しているのが気になるのを
抜歯せずに表側ワイヤー矯正で改善

Before

before before

After

after after

初診時年齢

16歳

治療内容

3年1ヶ月

来院回数

24回

費用

1,030,660円

治療内容

叢生を非抜歯でマルチブラケット装置により改善した。

リスク・副作用

治療期間中は1ヶ月に1回程度の通院が必要です。他の矯正歯科治療と同様に、セルフケアを怠ると、虫歯や歯周病を発症する場合があります。ワイヤー調整後は、一時的な鈍痛や咬合痛を発症する場合があります。動的治療終了後は、保定装置を装着する必要があります。

前歯に隙間が空いているのを
拡大床装置で改善

Before

before before

After

after after

初診時年齢

8歳

治療内容

4年1ヶ月
うちマルチブラケット装置装着期間8ヶ月

来院回数

25回

費用

477,150円

治療内容

永久歯の萌出スペースが不足しているため、床拡大装置にて上下顎歯列の拡大を行った。その後、乳歯の交換終了後、マルチブラケット装置により歯の排列を行った。

リスク・副作用

治療期間中は1ヶ月に1回程度の通院が必要です。他の矯正歯科治療と同様に、セルフケアを怠ると、虫歯や歯周病を発症する場合があります。また、一時的な鈍痛や咬合痛を発症する場合があります。動的治療終了後は、保定装置を装着する必要があります。

料金プラン

表側ワイヤー矯正

1,008,360
    初診矯正相談
    4,000円
    検査・診断料
    54,000円
    マルチブラケット装置(表側)
    950,360円
    調整料(表側から)
    5,860円

裏側ワイヤー矯正

1,137,220
    初診矯正相談
    4,000円
    検査・診断料
    54,000円
    マルチブラケット装置(裏側)
    1,079,220円
    調整料(裏側から)
    6,740円

マウスピース矯正

256,000円~
1,137,230
    初診矯正相談
    4,000円
    検査・診断料
    54,000円
    マウスピース矯正 フル
    モデレート
    ライト
    エクスプレス
    コンパクト
    1,079,230円
    654,300円
    453,800円
    286,880円
    198,000円
    調整料(マウスピース矯正)
    5,860円

※マウスピース矯正は
いずれかのプランの費用がかかります

第1期矯正歯科治療
(成長期の間の矯正歯科治療)

631,000
    初診矯正相談
    4,000円
    検査・診断料
    54,000円
    第一期基本料金
    573,000円
    調整料
    4,730円

※費用は税込金額です。

当院のデンタルローン

月々のご負担を抑えて、
無理なく矯正を始められる
デンタルローンをご利用いただけます

  • check 家計に無理のない分割払い
  • check まとまった出費を避けられる
  • check 支払いプランは柔軟に相談可能
  • check 初めての方でも安心して利用できる

矯正治療は
医療費控除の対象となります!

医療費控除で治療費の一部が戻ってくる
可能性があります
(デンタルローンも対象です)

あなたや生計を一緒にする配偶者や
その他の親族のために支払った医療費が
一定額を超えるときは、
下記の算式によって計算した金額を
医療費控除として受け取ることができます。
1月1日〜12月31日までの1年間に実際に支払った
医療費に限り控除の対象となります。
医療費控除の計算方法
その年中に
支払った医療費
保険金などで
補填される金
10万円
または
所得金額の5%
(いずれか少ない方)
医療費控除額
(最高200万円)

治療の流れ

Step01

初診矯正相談

Step01

初診矯正相談

5分程度お時間をいただき、口腔内の3Dスキャンと顔のスキャンニングを行います。
実際のお口の中の状況を確認した上で、
気になっているところや治療のご希望についてお伺いいたします。
Step02

検査

Step02

検査

頭部X線規格写真や顔面写真を撮影し、
分析・診断を行います。
その他、必要に応じて、歯周病検査や顎関節の検査も同時に行うことができます。
Step03

診断

Step03

診断

検査結果を詳細に分析し、複数の歯科医師で治療計画を立案します。
患者さんとご相談の上、最終的な治療方針を決定していきます。
Step04

治療

Step04

治療

治療方針に同意いただけましたら、装置を装着し矯正歯科治療を開始します。
計画通りに治療ができているか、定期的に写真を撮影してモニタリングを行います。
Step05

メンテナンス

Step05

メンテナンス

矯正が完了したら終わりではなく、定期的なメンテナンスクリーニングやホワイトニング・審美歯科治療を通して、健康的な笑顔を一生涯に渡って維持できるようサポートしてまいります。

矯正治療について
よくある質問

Q 矯正期間中は見た目に変化はありますか?
A
金属ブラケットを使用した矯正歯科治療では、装置が目立ってしまいますが、当院で使用しているのはセラミックブラケットのみですので、ほとんど目立ちません。
また、マウスピースでの矯正装置も透明ですので、ほとんど見た目の変化がありません。
Q 違和感や話すのに支障はありますか?
A
矯正装置を装着した直後や調整後は、数日ほど違和感を感じることがあります。
ただし多くの方が、日常生活や会話に大きな支障を感じることなく慣れていきます。
当院では、できるだけ負担の少ない方法を検討しながら、違和感が強い場合は早めに調整を行います。
Q 治療期間はどれくらいですか?
A
歯ならびや咬み合わせの状態、治療方法によって異なりますが、一般的には数ヶ月から3年程度が目安となります。
当院では初診時に精密検査を行い、無理のない治療計画と期間の目安を丁寧にご説明します。
Q むし歯や歯周病があっても矯正できますか?
A
むし歯や歯周病がある場合でも、矯正歯科治療は可能です。
ただし、まずはお口の衛生状態を改善することが大切なため、むし歯や歯周病治療を優先して行います。将来の歯の健康を守るため、当院では、矯正歯科治療中も通院時にはクリーニングを必ず行います。
Q どのくらいの間隔で通院するのですか?
A
治療内容にもよりますが、おおよそ1か月に1回程度の通院が一般的です。
毎回の通院では歯の動きや咬み合わせを確認し、必要な調整を行います。
お仕事やご家庭の状況も考慮しながら、通いやすいペースをご相談いただけます。
Q 食べ物の制限などはありますか?
A
装置の種類によっては、硬いものや粘着性のある食べ物を控えていただく場合があります。
ただし、普段の食事を大きく制限する必要はありません。
治療開始時に、装置に配慮した食事のポイントを分かりやすくご説明します。

ドクターメッセージ

大谷 淳二

クリニック監修 歯科医師

大谷 淳二

大谷歯科矯正歯科の目標は、患者さんと呼ばれる前の皆さんにお会いして、
健康なお口の維持・管理をお手伝いしながら地域社会に貢献することです。

患者さんが自分の歯を健康的に維持し続けるためには
1.歯を支える骨と歯ぐきが健全であること
2.歯ならびが整っていてお掃除しやすい環境であること
この2点が最重要であると考え、矯正歯科治療と歯周病治療を主軸に、患者さんのニーズに合わせた
多彩な診療体制を整えております。

また年代別に注意すべきお口のチェック項目をお伝えする時間(歯のはなし・親子で歯磨き教室)、
舌・呼吸・姿勢のトレーニング(口腔筋機能療法)など多彩なプログラムを準備しております。

矯正歯科治療を通して、治療が必要のない、健康的で気持ちの良いお口の環境を構築するために、
専門性を持った歯科医師と衛生士が皆様をサポートいたします。

みなさん、想像してください。
毎日会う学校の友達が、すごくよく笑う子だったら。

会社の同僚が、毎日笑顔で挨拶してくれたら。あなたの隣に座っている人が、いつもにっこり笑っていたら。

きっと自分自身も笑顔が増えて、人との出会いが、毎日が、楽しくて仕方ない。

そんな笑顔あふれるまちづくりのために、自信をもって笑える人を増やし、人生最良の日を提供したい。

このような想いで、日々の診療に取り組んでいます。

大谷歯科矯正歯科の目標は、
患者さんと呼ばれる前の皆さんにお会いして、
健康なお口の維持・管理をお手伝いしながら
地域社会に貢献することです。

患者さんが自分の歯を
健康的に維持し続けるためには
1.歯を支える骨と歯ぐきが健全であること
2.歯ならびが整っていてお掃除しやすい
環境であること
この2点が最重要であると考え、
矯正歯科治療と歯周病治療を主軸に、
患者さんのニーズに合わせた
多彩な診療体制を整えております。

また年代別に注意すべき
お口のチェック項目をお伝えする時間
(歯のはなし・親子で歯磨き教室)、
舌・呼吸・姿勢のトレーニング
(口腔筋機能療法)など
多彩なプログラムを準備しております。

矯正歯科治療を通して、治療が必要のない、
健康的で気持ちの良いお口の環境を
構築するために、
専門性を持った歯科医師と衛生士が
皆様をサポートいたします。

みなさん、想像してください。
毎日会う学校の友達が、
すごくよく笑う子だったら。

会社の同僚が、毎日笑顔で挨拶してくれたら。
あなたの隣に座っている人が、
いつもにっこり笑っていたら。

きっと自分自身も笑顔が増えて、
人との出会いが、毎日が、楽しくて仕方ない。

そんな笑顔あふれるまちづくりのために、
自信をもって笑える人を増やし、
人生最良の日を提供したい。

このような想いで、
日々の診療に取り組んでいます。

アクセス

image
image image

愛媛・松山市 
医療法人丹心会 大谷歯科矯正歯科

〒790-0941 松山市和泉南6-2-6

  • 椿小学校正門前
  • 駐車場22台完備

診療時間

診察時間
10:00~18:20
※土曜日の診療時間は
9:00〜13:00、14:00〜17:00となります。
休診日:木曜日・日曜日・祝日